Художественная реставрация зубов
Повторение нормальной структуры естественного зуба путём имитации зубных тканей различными искусственными материалами.

Этапы реставрации:
-
ПодготовкаПрофессиональная чистка зубов с удалением зубного налета и зубного камня. После этого с использованием специальной шкалы определяется оттенок пломбировочного материала.
-
ОбезболиваниеСнятие болезненности требуется не всегда, поэтому целесообразность этой процедуры определяется индивидуальным образом
-
Высверливание тканей зуба, пораженных кариесом.Высверливание установленной ранее пломбы требуется в случаях, когда перед врачом-стоматологом стоит задача исправить ранее проведенную некачественную реставрацию.
-
Исключение попадания слюныв область проведения реставрационных работ. Применение ваты, популярное ранее, не дает возможности надежно защитить ткани зуба от слюны, которая существенно влияет на конечный результат. Современные методы подразумевают использование коффердама – пластины из латекса, которая надежно ограждает зуб или несколько зубов от контакта со слюной. Если этого не сделать, то возможным осложнением станет нарушение прилегания к зубу пломбы, а также отсутствие качественного результата.
-
Фиксация штифта.данный этап требуется при депульпированном зубе в случаях, когда отмечается разрушение коронки на 50%. Чтобы реставрация не выпала при повышенной нагрузке нужно укрепление пломбы путем фиксирования штифта.
-
Реставрация формы зуба.Чтобы добиться максимально естественного эффекта, используется техника слоистого восстановления, при которой слои материала разных оттенков накладываются послойно. Такой способ придает зубу естественность.
-
Финишная обработкаВыполняется моделирование формы, включающее полировку и шлифовку.
ПОКАЗАНИЯ:
-
Сколы и трещины на эмали
-
Неэстетичный цвет эмали, который нельзя исправить отбеливанием.
-
Частичное разрушение коронковой части.
-
Некоторые незначительные нарушения прикуса.
-
Гипоплазия эмали и прочие аномалии развития зубов.
Общие противопоказания
-
Наличие непролеченного кариеса и его осложнений (пульпита, периодонтита и так далее).
-
Воспалительные процессы в пародонте. Разрушение коронковой части зуба более чем на 40 % (это особенно актуально, когда проводится реставрация жевательных зубов).
-
Серьезные аномалии прикуса.
-
Отсутствие жевательных зубов (на передние зубы в таком случае приходится значительная нагрузка).
-
Повышенная стираемость эмали и бруксизм.
-
болезни дыхательных путей;
-
аллергия и индивидуальная непереносимость отдельных веществ
-
герпис или «лихорадка»
-
при ОРВИ, ОРЗ, фарингите, ангине и других заболеваниях горла и дыхательных путей, даже в отсутствии повышенной температуры
-
при насморке и заложенности носа
Подготовка к визиту к стоматологу:
-
Не надо отправляться к врачу натощак, лучше незадолго до назначенного времени перекусить: у сытого человека выделяется меньше слюны
-
Почистите зубы особенно тщательно: щеткой и зубной нитью, перед тем как зайти к врачу, освежите рот, прополоскав его водой.
-
Накануне вечером и перед самым визитом можно выпить что-нибудь успокаивающее, например, валерьянки или пустырника.
-
Алкоголь противопоказан за сутки до посещения стоматологии. Его наличие в крови ослабляет действие анестетиков.
-
Обязательно сообщите врачу, если у вас аллергия на какие-нибудь лекарства. Предупредите, если раньше были необычные реакции на предыдущие анестезии.
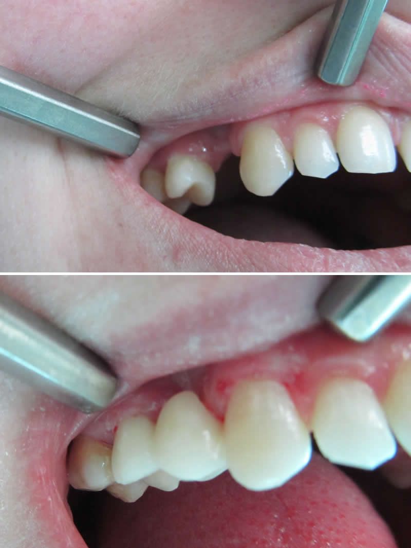
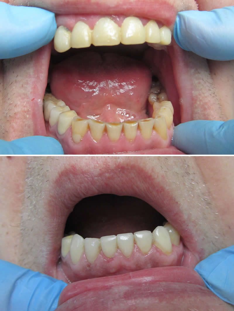
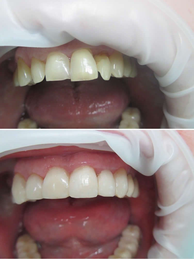
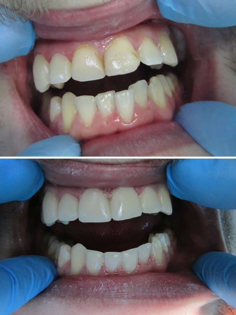
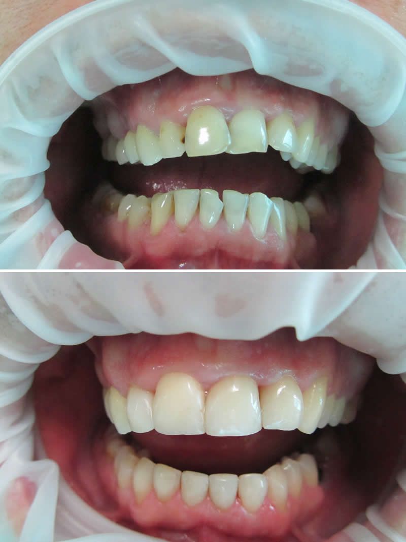
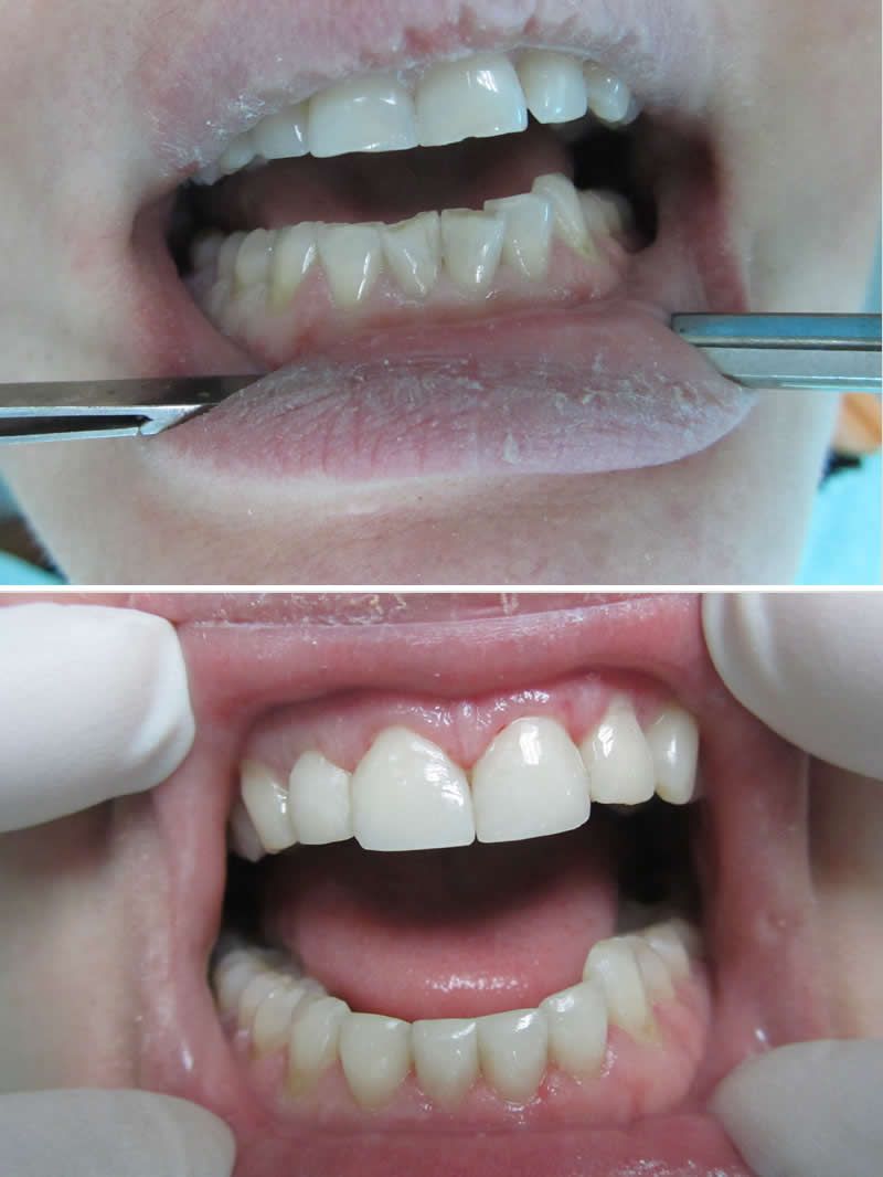
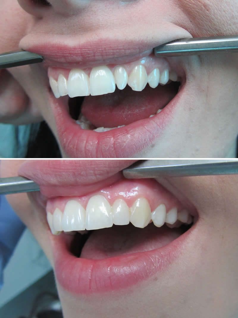
Примеры работ
Реставрация зубов – этот метод реконструкции зубов основан на повторении природного устройства коронное зубов, т.е. послойное восстановление утраченных тканей зубов.
Уход за зубами после художественной реставрации
Наращивание очень похоже на обычное пломбирование, поскольку используются те же самые материалы. Поэтому правила ухода во многом похожи. Однако есть и различия – художественная реставрация проводится более ювелирно, поскольку наращивается небольшой кусочек или даже целая коронка. Композит фиксируется сверху, а не укладывается внутрь полости, поэтому отсутствие стенок накладывает определенные обязательства с точки зрения ухода за такими зубами.
-
После наращивания, особенно передних зубов, может возникать ощущение, что зубы слишком массивные. Это нормально, т.к. зубы действительно стали немного толще. Нужно немного потерпеть – полная адаптация займет в среднем около двух недель.
-
Следует отказаться от приема пищи в течение 2-3 часов после окончания лечения, если применялись штифт или культевая вкладка, следует отказаться от приема горячей или сильно холодной пищи в течение первых суток
-
Не рекомендуются кофе, чай, красное вино, сладкая цветная газировка, свекла, соусы (особенно томатный и соевый), ягоды, леденцы и карамель – все продукты, которые со временем приведут к изменению оттенка нарощенного кусочка
-
Избегайте употребления твердых овощей и фруктов в цельном виде – лучше их порезать на кусочки и пережевывать ненарощенными зубами. Особенно это важно при реставрации передних зубов – нельзя ими откусывать твердые продукты.
-
Нельзя раскалывать орехи, щелкать семечки, грызть сухарики нарощенными зубами.
-
Пищу пережевывайте медленно, особенно если она твердая или волокнистая.
-
Слишком горячая или холодная еда может спровоцировать трещины и сколы материала.
-
Если невозможно отказаться от напитков и продуктов, которые окрашивают пломбировочные материалы, нужно уделить повышенное внимание гигиене.
Обязательной в таких ситуациях является чистка после каждого приема пищи. -
Используйте зубную щетку средней жесткости.
Жесткая может привести к образованию микротрещин и зазоров на пломбировочном материале, мягкая не справится с удалением зубного налета. -
Используйте зубную пасту БЕЗ добавления абразивных веществ.
-
Не используйте зубную пасту и ополаскиватель с хлоргексидином и дифторидом, они могут изменить оттенок реставрированных зубов на более темный и даже коричневый.
-
Главная рекомендация – 1-2 раза в год обязательно посещать стоматолога: для проведения профессиональной чистки зубов, полировки композитов и оценки качества их фиксации.
Остальные рекомендации вам даст врач, исходя из вашего состояния, используемого метода лечения и прочих нюансов.