Козлова
Ирина Петровна

ВРАЧ ТЕРАПЕВТ-СТОМАТОЛОГ ВЫСШЕЙ КВАЛИФИКАЦИОННОЙ КАТЕГОРИИ
Пациенты высоко ценят не только профессионализм своего доктора, но и ее редкий дар сопереживания.
Козлова Ирина Петровна

Биография

Образование:

Выпускница Минского государственного медицинского института 1983 года

Стаж работы:

  • Более 30 лет
    в лечебных учреждениях г. Минска
  • С 2011 года
    в Медицинском центре "Мелисса - Мед"

Текущая деятельность:

С первого дня существования центра проявила себя как замечательный доктор. Никогда не стоит в стороне, болеет за дело всей душой. Владеет всеми новейшими технологиями в терапевтической стоматологии такими как: реставрации зубов из лучших стоматологических материалов, лечение и перелечивание каналов зубов любой сложности, эстетические реставрации направленные на восстановление длинны зубов, а также технологиями отбеливания зубов.

Специализация:

  • реставрация зубов
  • лечение и перелечивание каналов зубов любой сложности
  • эстетические реставрации направленные на восстановление длинны зубов

Повышение квалификации

  • Эстетическая стоматология
  • Лечение неосложненного кариеса
  • Героическая эндодонтия
  • и другие

Примеры выполненных работ:

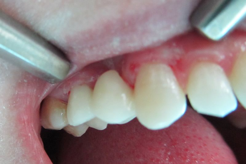
Реставрация зубов – этот метод реконструкции зубов основан на повторении природного устройства коронное зубов, т.е. послойное восстановление утраченных тканей зубов.

Реставрация зубов до

До

Реставрация зубов

Реставрация зубов после

После

Реставрация зубов

Трансформация зубов – изменение формы коронки зуба при диастемах и тремах.

Трансформация зубов до

До

Трансформация зубов

Трансформация зубов после

После

Трансформация зубов

Адгезивные протезы изготавливаются при отсутствии одного зуба, в одно посещение возможно восстановление эстетической и функциональной целостности зубного ряда.

Адгезивные протезы до

До

Адгезивные протезы

Адгезивные протезы до

До

Адгезивные протезы

Адгезивные протезы после

После

Адгезивные протезы

Примеры выполненных работ:

Примеры выполненных работ

Примеры работ

Примеры работ
Примеры выполненных работ

Примеры работ

Примеры работ

Запись на консультацию:

Расположение Центра на карте

Медицинский центр «Мелисса-Мед»

г. Минск, ул Ташкентская, 6а.
Тел. (017)373-40-00
А1 (029) 345-40-00
МТС (029) 771-44-44
Факс. (017)378-44-44

Вакансии центра

Режим работы

Понедельник-пятница: 8.00 – 20.00
Суббота: 9.00 – 17.00
Воскресенье: выходной

Запись на прием
Оценить работу центра
Отправить сообщение руководству